


安可動物醫院 Always care
腫瘤癌症診斷與內外科治療、骨科、心臟科、內分泌疾病、眼科、牙科、與家庭醫學的專業診療
安心可靠、親切專業守護您寶貝的健康
醫療團隊
臨床獸醫學碩士 聯合主治

陳鞍修
主治獸醫師
腫瘤細胞學診斷與癌症內外科治療
皮瓣重建手術、眼科、牙科、一般內外科
學歷:國立中興大學臨床獸醫學碩士
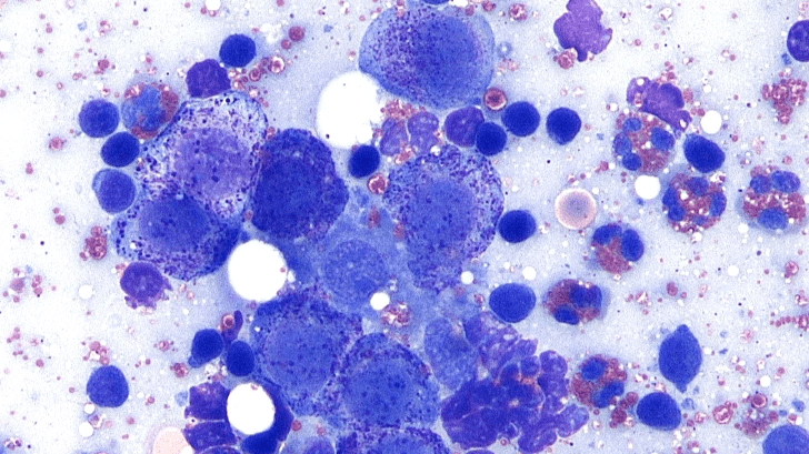
腫瘤專科研究室
經歷:台大慈仁動物醫院 主治獸醫師
(2017-2023)

鍾尚修
主治獸醫師
心臟超音波診斷
骨外科、復健、一般內外科
學歷:國立中興大學臨床獸醫學碩士
臨床病理研究室
經歷:板橋台大動物醫院 主治獸醫師
(2017-2023)

林思旻
主治獸醫師
超音波診斷
重症加護、皮膚病、一般內外科
學歷:國立屏東科技大學獸醫學士
經歷:元氣動物醫院 主治獸醫師
服務理念
安可,旨在提供安心、可靠的醫療服務。
安心的醫療是建立在專業上,基於對生命的尊重。
盡可能讓每個病患可以得到適洽的治療、解放疾病的苦痛。
可靠是我們想成為家長的靠山、陪伴生病毛孩的戰友。
付出我們基於人性的關懷,找到在於毛孩、家長、醫療之間的那個錨點。
好安心、很可以。
長期健檢方案
早期發現、早期治療

毛孩高齡化趨勢、照護新觀念

毛孩高齡化趨勢、照護新觀念
癌症、肝腎疾病、心臟衰竭、糖尿病、白內障青光眼等,威脅熟齡毛孩的健康。安可秉持早期發現早期治療的理念,邀請全齡毛孩定期健康檢查,提高疾病治癒機率,守護合理生活品質。
專業醫療服務

腫瘤診斷、手術與癌症治療
不明腫塊、癌症內外科治療,免跑台北台中教學醫院
身上所有不明腫塊、器官團塊、胸腹水甚至血液,藉由專業的細針採樣、細胞學診斷,或Tru-Cut組織採樣技術,不需麻醉切片,即可快速且嚴謹的在門診判讀出病因,立刻開始精確治療。本院提供乳腺腫瘤、口腔腫瘤、脾臟、消化道腫瘤或骨腫瘤的手術切除治療,以及皮瓣整形保肢或口唇重建手術,同時針對淋巴癌、膀胱癌、前列腺癌、間皮細胞癌等提供客製化的藥物治療流程,幫助毛小孩儘快回復正常生活。

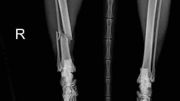
骨折脫臼與發育異常的矯正
結合影像學、理學檢查與運動力學,提出適合的骨科治療方案
也許是車禍、也許是玩樂時不小就跛腳了,究竟只是扭傷,還是骨折脫臼?需要正確的X光診斷,判斷傷勢,再結合運動力學,規劃合適的骨科手術方案,避免只吃止痛藥造成永久性的傷害,再配合術後正確的照顧與復健,讓毛小孩重獲行動的自由。

心血管門診
不只喘咳、有時突然昏迷、抽搐也是心血管問題,術前評估心臟功能也很重要!
整合X光與彩色督卜勒超音波,針對心臟腔室,血液動力學做出完整測量提供最準確、有效的心臟病治療方案,有效控制心臟衰竭,同時提供手術病患麻醉前的心臟評估,手術更安全,老年動物也能放心接受手術治療,得到更好的生活品質。

內科疾病與內分泌診療
糖尿病、高血壓、腎衰竭,毛孩也好發人類常見慢性病!
是否覺得家中寶貝瘦了,食慾變差了,眼睛紅腫還是皮膚搔癢難耐,喝得多又尿得多?從頭到尾,從消化道到泌尿道,我們提供高精密的血檢儀器,X光與彩色超音波檢查,幫您釐清家中寶貝的身體大小事。

眼科門診
靈魂之窗、從小到老各有它需要關心的地方
淚眼汪汪的小貓咪,需要注意是不是泡疹病毒結膜炎、但年紀較大的狗狗睜不開眼睛,又是另一個故事。小小的眼睛,不同疾病處理方式完全不同,絕不是多點幾瓶眼藥水就會好的,本院備有眼壓計、裂隙燈、角膜螢光染色試紙、淚液試紙等,針對病毒感染、角結膜炎、青光眼、葡萄膜炎、第三眼瞼問題做出診斷與治療,避免毛孩喪失視力。

牙科治療
牙齒問題請從小關注,發現牙周病也不能洗牙了事
牙齒問題常好發在小型犬、往往年紀到了就有層厚厚牙結石,甚至侵蝕牙根、齒槽骨造成瘻管(臉破洞),下顎骨折,或者細菌跑到心臟瓣膜形成瓣膜逆流、心臟衰竭、血栓或跑到肝臟、脾臟形成膿腫,不可不慎!完整牙科治療絕非洗牙了事,X光檢查牙根、齒槽骨非常重要,只有完全根除患牙、毛孩口腔痛苦與牙周病風險才有解放的一天。
醫療設備

- AESCULAP® Caiman® 進階血管封閉系統
- Idexx Procyte Dx 高階五分類血球分析儀
- Idexx catalyst one 多功能血液生化檢測儀
- Idexx尿液檢查儀
- CareRay DR 直接顯影與CPI-加拿大進口高頻X光機
- GE LOGIQ F6 Vet 彩色督卜勒超音波
- Comen NC12-V生理監視器(含ET CO2與Suntech血壓監控)
- URANUS Compact 小動物氣體麻醉機
- Decorate氣體麻醉系統
- 骨科手術器械、高速骨科電鑽系統、鎖定鋼板、骨髓內釘
- Zeus 200S 電刀系統
- 半自動組織採樣針、Punch biopsy、Diff Quik細胞學專用染色劑
- Super DTS牙科治療台與iM3牙科器械
- 牙科專用X光與牙科專用DR直接顯影成像系統
- Vet map 動物專用血壓機
- 手持式裂隙燈
- 眼底鏡
- iCare Tonovet 手持回彈式眼壓計
- 控溫通風給氧ICU系統與高流量氧氣製造機
- Gbox 30W 四級雷射(物理治療/手術)
- 噴霧治療機



門診預約
來電預約 03-3015232
或至 Line、Facebook 進行
徵才消息
請見Facebook公告
醫療交流園地
建置中
© 2023























