貓咪腹部腫脹+腹水 = 癌症末期?
🐱 貓咪腹部腫脹+腹水 = 癌症末期?
其實還有別的可能!掌握正確診斷,別太早放棄希望 💡
很多飼主在看到貓咪肚子突然變大,檢查出腹腔有腫塊或腹水時,第一反應常是:「是不是癌症末期?是不是來不及了?」😿
但事實上,我們在門診中常常遇到類似的情況,卻發現這樣的症狀不一定就是腫瘤或絕症!🔍
透過正確的檢查與病原分析,有時候真相會讓人大大鬆一口氣。
以下分享三個真實案例,希望讓更多毛爸毛媽知道——**腹水 ≠ 腫瘤末期,有些病其實可以治癒!**💊
⸻
📖 病例一:
3個月小貓肚子變大,竟然是可治療的FIP!
橘白小貓小虎突然肚子鼓鼓的,飼主以為是變胖,結果發現牠精神差、食慾不好,到院後一照超音波,腹腔裡滿滿的腹水!
抽出的腹水呈黃色黏稠,血檢球蛋白很高——高度懷疑是傳染性腹膜炎(FIP)。
這是過去被視為「絕症」的疾病,但現在,已有新一代抗病毒藥物,治療成效令人驚艷!✨
小虎經確診為 FIP 後,開始服用合法藥物 ,一週內腹水就幾乎消失,體重上升、恢復活力,目前健康穩定中💪🐾
👉 小提醒:很多人不知道,**FIP 現在是可以治療的!**別因誤會錯過黃金治療時機。
⸻
📖 病例二:
腹部大腫塊初步診斷淋巴癌,經過深入檢驗其實是傳染性腹膜炎!
兩歲英短貓 Kiki 在健康檢查中被發現腹部淋巴結腫大、形成明顯腫塊,原診所懷疑是淋巴瘤,建議轉診至本院評估,準備化療。😰
但我們仔細評估後,發現牠不屬於好發年齡與品種,並進一步檢查發現:
✔️ 血檢出現極高的球蛋白
✔️ 細胞學分析顯示非惡性腫瘤 (為化膿性肉芽腫性炎症)
✔️ 冠狀病毒 PCR 陽性 → 判斷為乾式 FIP(沒有腹水型)
Kiki 並不需要化療,而是在抗病毒藥物治療下逐漸好轉,目前腫塊雖仍需追蹤,但整體狀況穩定中🧡
👉 重點是:**不是所有腫塊都是腫瘤!**發炎、感染也可能是元兇,準確診斷才不會誤治或浪費時間。
⸻
📖 病例三:
腸系膜淋巴腫大+貧血,不是腫瘤,也不是 FIP,只是感染!
一歲的 Mimi 到院時精神不佳、貧血,超音波發現空腸周邊淋巴結腫大、合併少量腹水,看起來像腫瘤或 FIP。
但!
✔️ 細胞構成複雜,與淋巴癌不符(診斷增生性淋巴腺炎)
✔️ PCR 陰性,排除 FIP
✔️ 給予抗生素後,精神回復、食慾正常、貧血改善、腫塊縮小👏
目前已結束療程,進入定期追蹤階段📅
👉 這個案例提醒我們:有些看似嚴重的病,其實是單純感染,只要用對方法,就能快速恢復。
⸻
🔍 重點整理:不是所有腹水、腫塊、貧血都代表癌症!
請記住以下幾個重要觀念 ✅:
📌 貓咪腹水可能來自 FIP、感染、心臟病,不一定是腫瘤
📌 腹腔腫塊不等於確診腫瘤,也可能是肉芽腫或單純發炎淋巴增生
📌 血中球蛋白升高,也不一定是 FIP,仍需 PCR 確診
📌 淋巴結腫大是「診斷的起點」,不是「化療的起點」
📌 正確診斷三件事不能少:血檢、細針採樣、病原鑑定🧪
⸻
🐾 安可小提醒:
當病情看起來很糟時,其實更需要耐心與精準。
千萬不要因為「好像很嚴重」就提早放棄——
很多情況,在抽血、超音波、細胞學與病原檢測後,會發現有不一樣的治療方向與希望✨
讓我們一起給每隻貓咪,一個被「正確診斷」的機會❤️
其實還有別的可能!掌握正確診斷,別太早放棄希望 💡
很多飼主在看到貓咪肚子突然變大,檢查出腹腔有腫塊或腹水時,第一反應常是:「是不是癌症末期?是不是來不及了?」😿
但事實上,我們在門診中常常遇到類似的情況,卻發現這樣的症狀不一定就是腫瘤或絕症!🔍
透過正確的檢查與病原分析,有時候真相會讓人大大鬆一口氣。
以下分享三個真實案例,希望讓更多毛爸毛媽知道——**腹水 ≠ 腫瘤末期,有些病其實可以治癒!**💊
⸻
📖 病例一:
3個月小貓肚子變大,竟然是可治療的FIP!
橘白小貓小虎突然肚子鼓鼓的,飼主以為是變胖,結果發現牠精神差、食慾不好,到院後一照超音波,腹腔裡滿滿的腹水!
抽出的腹水呈黃色黏稠,血檢球蛋白很高——高度懷疑是傳染性腹膜炎(FIP)。
這是過去被視為「絕症」的疾病,但現在,已有新一代抗病毒藥物,治療成效令人驚艷!✨
小虎經確診為 FIP 後,開始服用合法藥物 ,一週內腹水就幾乎消失,體重上升、恢復活力,目前健康穩定中💪🐾
👉 小提醒:很多人不知道,**FIP 現在是可以治療的!**別因誤會錯過黃金治療時機。
⸻
📖 病例二:
腹部大腫塊初步診斷淋巴癌,經過深入檢驗其實是傳染性腹膜炎!
兩歲英短貓 Kiki 在健康檢查中被發現腹部淋巴結腫大、形成明顯腫塊,原診所懷疑是淋巴瘤,建議轉診至本院評估,準備化療。😰
但我們仔細評估後,發現牠不屬於好發年齡與品種,並進一步檢查發現:
✔️ 血檢出現極高的球蛋白
✔️ 細胞學分析顯示非惡性腫瘤 (為化膿性肉芽腫性炎症)
✔️ 冠狀病毒 PCR 陽性 → 判斷為乾式 FIP(沒有腹水型)
Kiki 並不需要化療,而是在抗病毒藥物治療下逐漸好轉,目前腫塊雖仍需追蹤,但整體狀況穩定中🧡
👉 重點是:**不是所有腫塊都是腫瘤!**發炎、感染也可能是元兇,準確診斷才不會誤治或浪費時間。
⸻
📖 病例三:
腸系膜淋巴腫大+貧血,不是腫瘤,也不是 FIP,只是感染!
一歲的 Mimi 到院時精神不佳、貧血,超音波發現空腸周邊淋巴結腫大、合併少量腹水,看起來像腫瘤或 FIP。
但!
✔️ 細胞構成複雜,與淋巴癌不符(診斷增生性淋巴腺炎)
✔️ PCR 陰性,排除 FIP
✔️ 給予抗生素後,精神回復、食慾正常、貧血改善、腫塊縮小👏
目前已結束療程,進入定期追蹤階段📅
👉 這個案例提醒我們:有些看似嚴重的病,其實是單純感染,只要用對方法,就能快速恢復。
⸻
🔍 重點整理:不是所有腹水、腫塊、貧血都代表癌症!
請記住以下幾個重要觀念 ✅:
📌 貓咪腹水可能來自 FIP、感染、心臟病,不一定是腫瘤
📌 腹腔腫塊不等於確診腫瘤,也可能是肉芽腫或單純發炎淋巴增生
📌 血中球蛋白升高,也不一定是 FIP,仍需 PCR 確診
📌 淋巴結腫大是「診斷的起點」,不是「化療的起點」
📌 正確診斷三件事不能少:血檢、細針採樣、病原鑑定🧪
⸻
🐾 安可小提醒:
當病情看起來很糟時,其實更需要耐心與精準。
千萬不要因為「好像很嚴重」就提早放棄——
很多情況,在抽血、超音波、細胞學與病原檢測後,會發現有不一樣的治療方向與希望✨
讓我們一起給每隻貓咪,一個被「正確診斷」的機會❤️
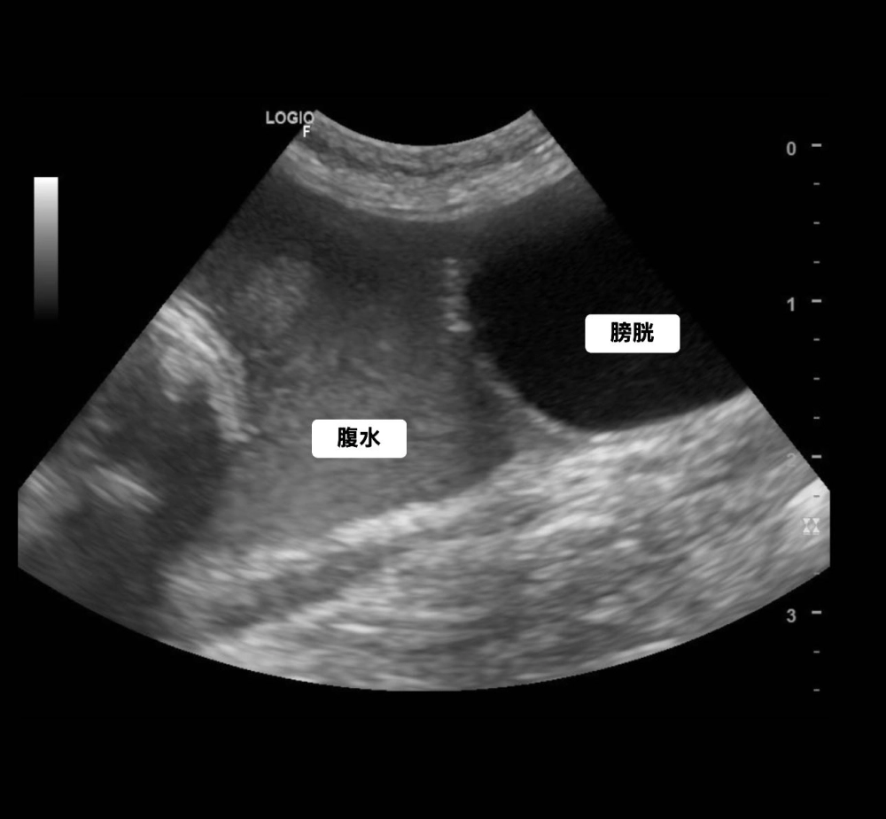
(病例一)超音波掃描可見腹水,抽出檢驗發現其蛋白含量高,冠狀病毒PCR陽性,確診為傳染性腹膜炎。

(病例一)經過一週治療 已經無腹水 貓咪精神食慾也有改善

(病例二) 腹腔疑似淋巴結處出現大型腫塊,厚度達3.5公分 
(病例二)然而細胞抹片無明顯腫瘤細胞,最終診斷為化膿性肉芽腫性炎症,冠狀病毒PCR為陽性,初步診斷為傳染性腹膜炎。 
(病例三) 超音波掃描可見多處腸系膜團塊 
(病例三) 細胞學檢察為增生性淋巴腺炎,並非淋巴癌,且冠狀病毒PCR呈現陰性,暫時排除傳染性腹膜炎 