首頁 > 案例分享 > 心臟科 > 心臟疾病的處置流程

案例分享

心臟疾病的處置流程

分享到
🗣️當遇到毛孩有呼吸急促、會喘、咳嗽、呼吸困難等狀況時,安可的醫師腦海裡其實已經開始思考所有可能的原因,例如:
心臟問題、肺臟問題、胸膜腔壓迫性疾病、疼痛,抑或是其他生理性等問題,都一一跑過腦海中,再一一排除。
___________________________
👨‍⚕️今天談談面對心臟疾病的處置流程
___________________________
心臟疾病的第一步: 🩺聽診
心臟位於胸腔的第三肋間到第六肋間, 經由聽診心臟跳動的頻率和心音,初步評估雜音的位置、強度以及特性。
-
心臟疾病的第二步: 🩻X光檢查
了解毛孩的心臟、肺臟與胸腔的狀況,進一步了解心臟大小與輪廓,並區別肺水腫、胸水或其他問題。
-
心臟疾病的第三步: 🫀心臟超音波/心電圖檢查
經聽診與X光檢查後,針對心臟疾病,建議進行心臟超音波/心電圖檢查。
心電圖檢查初步診斷心律性心臟疾病;心臟超音波檢查心臟各腔室型態、心肌、瓣膜運動性以及血液動力學。
-
心臟疾病的第四步: 💊統合資訊,並擬定治療計畫
根據美國獸醫內科協會(American College of Veterinary Internal Medicine, ACVIM)提供的心臟病分級指引,可分為 A、B1、B2、C、D 期,針對心臟病分級不同而給予適當的治療計畫。
___________________________
[病例分享]
貴賓,8歲。曾經於107年在友院治療心絲蟲疾病。完成療程後,仍有持續性咳嗽的問題。近期因咳嗽狀況變嚴重,而至安可就診。
🩺第一步: 聽診,毛孩屬於第六級心雜音(VI)。
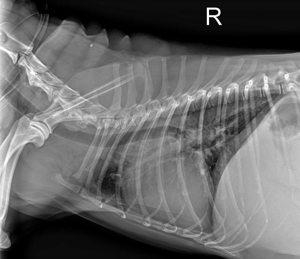
🩻第二步: X光檢查,心臟輪廓變大(VHS=11.0);肺葉呈現肺泡型病徵(alveolar pattern)。
🫀第三步: 心臟超音波/心電圖檢查,診斷左右心房嚴重擴張、二尖瓣與三尖瓣逆流與肺高壓問題。
💊第四步: 統合資訊,依照 ACVIM分級屬於C期,並給予適當的治療計畫。
-
🐶目前毛孩狀況穩定,並持續給予心臟口服藥物控制病情。並每個月定期回診追蹤毛孩狀況,適時調整藥物與治療方向。
___________________________
👨‍⚕️需要特別提醒家長的一點是,有心雜音不等於有心臟病, 而且有心臟病的動物也不代表必須開始服用藥物。
-
所以當發現心雜音時,只能知道毛孩的心臟功能"可能"出現問題,必須盡早諮詢獸醫師安排進一步的檢查,以免耽誤治療!
___________________________
👉能看見毛孩健健康康,是安可最希望的👈
🩺Tag有毛孩的爸爸媽媽,最新衛教需要你我一同宣導
#vet #veterinarian #pet #dog #cat #heartmurmur #cardiology #echocardiogram #heartdisease #coughing #ECG #Xray 
#咳嗽 #心臟病 #心臟超音波 #安可動物醫院 #桃園 #關心您
 


X光,心臟輪廓明顯變大




X光,心臟輪廓明顯變大



心臟超音波,可見肺動脈擴張


 
心臟超音波,可見三尖瓣逆流影像


 
心臟超音波,可見三尖瓣逆流影像


 
心臟超音波,可見肺動脈瓣逆流影像
 

上一頁
TOP